백년치과의 특별함
풍부한 임상경험을 바탕으로
수준높은 의료서비스를
제공합니다.
-
토탈덴탈케어 시스템으로
원스톱 진료가 가능합니다.간단한 치아검진, 스케일링 뿐만 아니라
고난도 뼈 이식 임플란트까지 진료하는
토탈덴탈케어 시스템으로 다른 곳을
돌아다니며 해결할 필요 없이 한 곳에서
해결이 가능합니다. -
과잉진료를 권유하지 않는
양심적 치료를 추구합니다.백년치과는 정확한 진단과 원칙적인 치료를
통해 내 치아에 꼭 필요한 치료만 진행하여
비용적 부담도, 과한 치료 걱정도 하지 않도록
양심적으로 진료합니다. -
대표원장이 직접 1:1 맞춤
책임진료를 시행합니다.풍부한 임상경험과 노하우를 가진 대표원장이
초기 상담부터 진단 및 치료까지 직접
1:1 맞춤 책임진료를 시행하여 사후관리까지
책임지고 있습니다. -
철저한 위생관리를 위해
멸균 소독 시스템을 실시합니다.위생적이고 청결한 진료환경에서 안심하고
진료를 받을 수 있도록 1인1기구 사용을
원칙으로 하며, 철저한 멸균 소독 시스템을
운영하고 있습니다.
백년치과 진료분야
정확한 진단을 바탕으로 체계적인 치료를 진행합니다.
섬세한 고난도 수술 치료
간단한 치과 진료부터 고난이도 수술까지 가능합니다.
고난도 수술은 난이도가 높은 만큼 정밀한 검사를 바탕으로 섬세하게 진행되어야 하기 때문에
풍부한 수술경험과 노하우를 갖춘 의료진에게 수술을 받는 것이 중요합니다.
백년치과가 고난도 수술 치료에 자신있는 이유
백년치과 고난도 수술 치료 진료분야
-
상악동 거상술
잇몸뼈의 깊이가 얕거나 뼈가 충분히 남아있지
않을 경우, 지지대를 심어 시술하는 고난도
임플란트 시술입니다. -
치조골 확장술
뼈를 단계별로 양 옆으로 벌림으로써 폭이 좁은
잇몸뼈의 중간에 살짝 틈을 만들고,
천천히 벌려 폭경을 확보하는 방법입니다. -
골이식술
치아를 발치한 다음 염증이 심하거나 뼈의 양이
부족할 때 뼈를 이식하는 방법의 시술입니다.
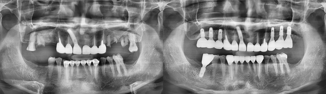
백년치과를 만나기 전과 후
나의 치아 사례와 비슷한 환자분들이 치료 후 어떻게 변화되었는지 직접 확인해보세요.
체계적인 임플란트
임플란트도 백년치과가 하면 그 결과가 다릅니다.
같은 임플란트라도 누가 어떻게 어떤 재료로 시술하느냐에 따라 치료 결과가 다를 수 있습니다.
백년치과는 체계적인 시술 계획을 통해 부작용을 최소화하고 어떤 고난도 임플란트 시술이어도 끝까지 책임지고 진행합니다.
백년치과 임플란트가 남다른 이유
차별화된 임플란트 시스템으로
만족스러운 결과를 선사합니다.
미국 치과 임플란트 학회 정회원
대표원장이 직접 시술합니다.
백년치과 이효헌 대표원장은 미국 치과 임플란트 학회의 정회원
(AAID active member)으로 다년간의 많은 경험과 노하우를
바탕으로 만족도 높은 시술을 제공합니다.
타 치과에서 해결하지 못한
고난도 임플란트가 가능합니다.
대표원장님이 수많은 임상경험의 노하우로 환자의
치아건강과 상황을 고려한 1:1 맞춤 임플란트가 가능합니다.
임플란트 보증제도로 꼼꼼한
사후관리가 가능합니다.
임플란트 평생주치의 시스템으로 한번 심어드린 임플란트는
평생 사용하셔야 한다는 마음으로 사후관리 보증제도를
실천하고 있습니다
정품 인증 오스템
임플란트만을 사용합니다.
백년치과는 오랜 기간에 걸쳐 풍부한 임상 데이터와 논문으로 증명된 국내 임플란트
1위 기업 오스템의 임플란트를 사용하여 믿을 수 있는 수술을 진행합니다.
3차원 CT진단을 통한 정확한
임플란트 시술이 가능합니다.
파노라마 엑스레이 촬영으로는 확인하기 힘든 다양한 정보를
세밀하게 알 수 있기 때문에 보다 정밀한 진단으로 가장 적합한
치료계획을 수립합니다.
백년치과 임플란트 진료분야
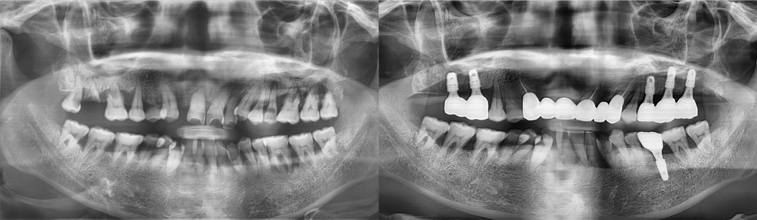
백년치과 임플란트를 만나기 전과 후
나의 치아 사례와 비슷한 환자분들이 치료 후 어떻게 변화되었는지 직접 확인해보세요.
소중한 자연치아 보존치료
철저한 치료계획을 통해
자연치아를 살리고 건강하게 유지합니다.
저희 백년치과는 철저한 치료계획을 통해 치아가 본래의 기능을 다할 수 있도록
최대한 자연치아를 보존하여 사용하고자 노력합니다.
백년치과의 자연치아 보존을 위한
3가지 치료 포인트
자연치아 보존치료 진료분야
자연치아를 살리는
MTA 신경치료도 진행합니다.
MTA 신경치료는 MTA라는 재료를 이용하여 흔히 치아 신경이라고 부르는
근관부위를 치료하는 치료이며, 재료 특성상 생체 조직의 적합성이
우수하고 밀폐성이 다른 기존 시경치료 재료에 비해 월등하여
신경에 발생한 다양한 문제를 해결하는데 도움을 줍니다.
#살균효과
#통증완화
#치근재생
#치근강화
개인에 따라 부작용이 발생할 수 있으니 의료진과의 충분한 상담 후 결정하시길 바랍니다.
과잉진료 없이 언제나 바르고
정직하게 진료하겠습니다.
이효헌대표원장
- · 서울대학교 치의학대학원 치의학교육연수원 임플란트 과정 연수
- · 미국 치과 임플란트 학회 정회원(AAID active member)
- · American academy of implant dentistry active member
- · American heart association basic life support course 수료
- · 대한인공치아골유착학회 보험부이사 (前) (Korea academy of osseointegration)
- · 대한치과감염학회 이사
- · 한국경구진정법연구회 정회원
- · 한국심는치아연구회 정회원
- · AAID-KOREA Maxicourse 수료
- · 청주한국병원 구강외과 수련
- · 대한치과이식임플란트학회 정회원
- · 구강악안면외과학회 정회원
- · 대한 악안면성형재건외과학회 정회원
환자중심의 안전한 진료를 약속드립니다.
백년치과는 정확한 검진과 섬세한 진료를 바탕으로 환자분들이 보다
안심하고 진료를 받을 수 있도록 최선을 다하겠습니다.
진료안내 및 오시는 길
백년치과 둘러보기













